〒453-0864 愛知県名古屋市中村区横前町500番地2サンハイム102
| 月 | 火 | 水 | 木 | 金 | 土 | 日祝 | |
|---|---|---|---|---|---|---|---|
| 9:00~12:00 | ● | ● | ● | ● | ● | ● | ─ |
| 16:00~20:00 | ● | ● | ― | ● | ● | ─ | ─ |
※急なおケガの場合は、時間外でもできる限り対応いたします。
まずはお電話にてご連絡ください。
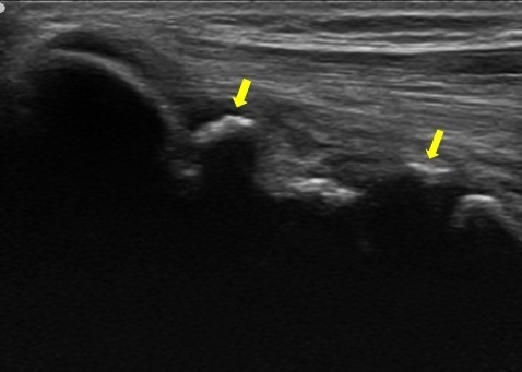
小学6年生 野球クラブチーム
ポジション:投手
典型的な野球肘の内側型です。来院時には肘内側に圧痛と可動域制限および投球時の疼痛が認められました。
超音波観察では正常肘ではみられないような骨の不正像(↓)が認められました。
野球肘では状態にもよりますが2週間から1ヵ月程度は投球を控えて頂き、徐々に軽いキャッチボールなどから開始して復帰を目指していきます。
また状態によってはLIPUS(低出力超音波治療器)などを用いて回復を図ります。
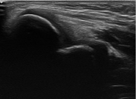
正常の肘のエコー画像
内側型野球肘のエコー画像
| 受付時間 | 9:00~12:00/16:00~20:00(水・土の午後は側弯症やインソール作成) ※急なおケガの場合は上記時間外でもできる限り対応させていただきます。 まずはお電話にてご連絡ください。 |
|---|
| 休診日 | 日曜・祝日 |
|---|