〒453-0864 愛知県名古屋市中村区横前町500番地2サンハイム102
| 月 | 火 | 水 | 木 | 金 | 土 | 日祝 | |
|---|---|---|---|---|---|---|---|
| 9:00~12:00 | ● | ● | ● | ● | ● | ● | ─ |
| 16:00~20:00 | ● | ● | ― | ● | ● | ─ | ─ |
※急なおケガの場合は、時間外でもできる限り対応いたします。
まずはお電話にてご連絡ください。
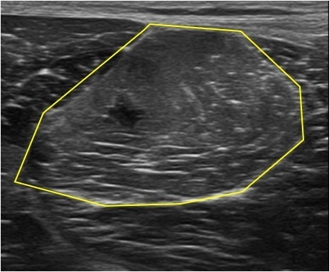
高校2年生・男子サッカー部
サッカーの切り替えし動作の際に右大腿後面に急に激痛を生じて痛めた、内側ハムストリングスの肉離れです。
症状、エコー画像から肉離れの奥脇分類2度損傷と考えられました。
エコー画像では黄色線の枠内の筋線維がその周囲の線維と比較して白く不鮮明に描出されている様子が分かります。
肉離れではその損傷程度によって、症状の経過を確認しながらリハビリを行い競技復帰を目指します。
右内側ハムストリングスの肉離れ(○印)
エコー画像(短軸画像)
| 受付時間 | 9:00~12:00/16:00~20:00(水・土の午後は側弯症やインソール作成) ※急なおケガの場合は上記時間外でもできる限り対応させていただきます。 まずはお電話にてご連絡ください。 |
|---|
| 休診日 | 日曜・祝日 |
|---|